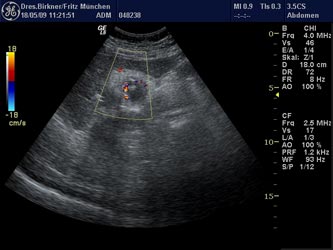
Die Untersuchung der Bauchorgane (Leber, Bauchspeicheldrüse, Gallenblase, Milz, Dickdarm, Magen, große Bauchgefäße und Nieren) mit Ultraschallgeräten wird als abdomineller Ultraschall bezeichnet. Die Untersuchung wird durch das Senden und Empfangen von Ultraschallwellen ermöglicht (Echolot-Prinzip). Die Bilder geben Aufschluss über Dichteveränderungen der Organe, die Rückschlüsse auf Erkrankungen der Organe zulassen. Unser eingesetztes Gerät der neuesten Technologi erlaubt die Darstellung des Blutflusses in Venen und Arterien (Doppler-Ultraschall) .Für die Untersuchung der Gallenblase sollte der Patient nüchtern sein (kein Essen, kein Trinken vor dem Untersuchungstermin).
